公司新闻/正文
7121 人阅读发布时间:2025-07-08 18:08
心力衰竭是全球发病率和死亡率的重要原因,而代谢重塑在心衰病理生理中具有关键意义。近期(2024 年 9 月 25 日),浙江大学王福俤团队于Signal Transduction and Targeted Therapy发表了 “Characterization of ferroptosis-triggered pyroptotic signaling in heart failure” 的研究论文,聚焦于压力过载诱导的心衰中脂质毒性的关键调节因子,利用脂质组学和 RNA 测序技术揭示了相关机制。该研究发现,ACSL4 在压力过载诱导的心衰中扮演重要角色,其介导的铁死亡可触发焦亡信号通路,影响心脏功能,为心衰治疗提供了新的潜在靶点。
这篇文章聚焦铁死亡,脂质组学,转基因鼠、RNA测序、基因编辑等热点方向及技术,直接赢在起跑线上。感兴趣的小伙伴儿一起来学学吧!
文章详情
题目:心力衰竭中铁死亡触发的焦亡信号转导的特征
期刊:Signal Transduction and Targeted Therapy
影响因子:40.8
发表时间:2024年9月
研究思路
研究结果
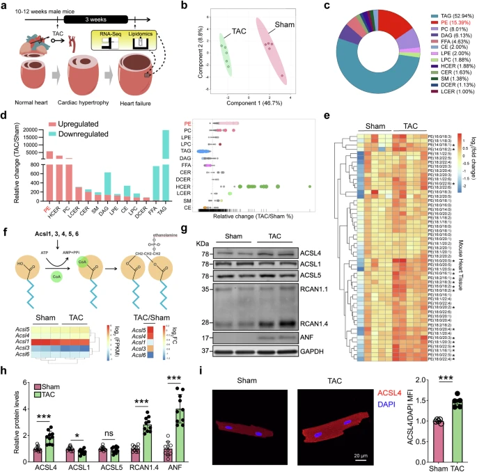
1、TAC 诱导心脏变化与 PEs、Acsl4 表达增加相关:TAC 手术使小鼠心脏出现肥大和衰竭,PEs 和 Acsl4 表达升高,提示其可能参与疾病发展。
图1 TAC 诱导的心脏肥大导致 Acsl4 上调
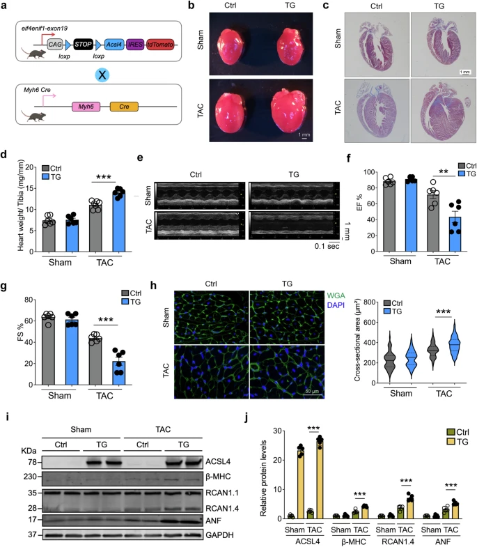
2、心肌细胞中 Acsl4 表达变化对心脏功能的影响:过表达 Acsl4 加剧 TAC 诱导的心脏损伤,而敲除或抑制 Acsl4 可减轻损伤,表明 Acsl4 在心脏病理过程中起关键作用。
图2 心肌细胞特异性 Acsl4 转基因小鼠响应 TAC 诱导的压力超负荷而增加心脏病理
图3 药理学抑制 Acsl4 并选择性敲除心肌细胞中的 Acsl4 可防止 TAC 诱导的心力衰竭
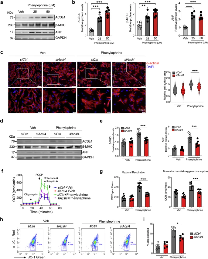
3、ACSL4 在体外对心肌细胞肥大生长的影响:体外实验显示,敲低 Acsl4 可保护心肌细胞免受肥大和线粒体功能障碍,过表达则加重损伤。
图4 Acsl4 是新生大鼠心室肌细胞肥大生长所必需的
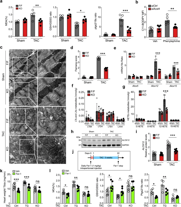
4、ACSL4 依赖的铁死亡与心脏肥大的关系:Acsl4 缺失减少铁死亡和脂质过氧化,ROS 参与 ACSL4 介导的相关过程,铁死亡抑制剂处理证实其在心脏肥大中的关键作用。
图5 Acsl4 依赖性铁死亡加剧了 TAC 诱导的心脏肥大
5、ACSL4 诱导的铁死亡触发焦亡信号通路参与心脏肥大:RNA 测序和实验表明,ACSL4 诱导的铁死亡激活焦亡信号通路,影响心脏功能,相关处理验证了其作用。

图6 焦亡途径在 Acsl4 诱导的铁死亡后被激活
研究意义
本研究表明 ACSL4 在压力过载诱导的心衰中通过介导铁死亡触发焦亡信号通路,影响心脏功能。这一发现有助于深入理解心衰的病理生理机制,为心衰治疗提供了新的潜在靶点。未来针对 ACSL4 或相关信号通路的干预研究,有望改善心衰患者的预后,同时也为其他心血管疾病的研究提供了新思路和理论基础。
利用“脂质组学+RNA 测序”结合铁死亡热点,创新性和可行性都显著提高,同时满足发高分文章和国自然研究基础的需求,难怪“铁爷”团队这么青睐!所以小伙伴不要犹豫了,赶紧行动起来,联系威斯腾,为您打造适合自己的方案,高分文章一步到位,让您体验更优质的科研服务!