公司新闻/正文
5341 人阅读发布时间:2025-07-08 17:55
小伙伴儿们,今天科研界的 “猛料” 来啦!威斯腾迫不及待要和大家分享一篇超牛的论文。它是由哈尔滨医科大学团队发表在顶刊Advanced Science上的题为 “Protosappanin A Protects DOX-Induced Myocardial Injury and Cardiac Dysfunction by Targeting ACSL4/FTH1 Axis-Dependent Ferroptosis” 的论文。该研究发现了一种神奇的物质——原苏木素 A(PrA),它就像一把精准的 “小钥匙”,能通过靶向 ACSL4/FTH1 轴相关的铁死亡途径,把多柔比星(DOX)带来的心肌损伤和心脏功能障碍问题轻松化解,给相关疾病的治疗开辟了一条全新的 “光明大道” !想知道具体咋回事吗?快跟着威斯腾一起往下看吧!
文章详情
题目:原苏木素A通过靶向ACSL4/FTH1轴依赖性铁死亡保护DOX诱导的心肌损伤和心功能障碍
杂志:Advanced Science
影响因子:14.3
发表时间:2024.7
研究背景
DOX 是有效的抗癌药,但剂量依赖性心脏毒性限制其应用,其机制与心肌细胞铁死亡相关。目前开发的心脏保护药物存在局限性,PrA 是传统中药苏木的活性成分,本研究旨在探究其对 DOX 诱导的心肌病(DIC)的作用及机制。
研究思路
实验结果
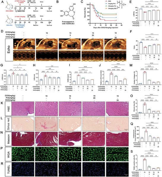
1、PrA 减轻 DOX 诱导的心肌损伤和功能障碍
提高 DOX 处理小鼠存活率,改善心脏功能,降低心肌损伤标志物水平,减轻心肌炎症、肥大和纤维化,减少心肌细胞死亡。

图1 PrA 减轻 DOX 诱导的心脏损伤
2、PrA 抑制 DOX 诱导的心脏铁死亡
RNA 测序表明 PrA 减少 DOX 诱导的铁死亡相关基因富集,体内外实验证实 PrA 调节铁死亡相关蛋白和指标,抑制线粒体铁积累和脂质过氧化,维持线粒体功能。
图2 PrA 改善 DOX 诱导的心脏组织铁死亡
3、确定 PrA 的直接结合靶点
筛选出 ACSL4 和 FTH1 是 PrA 的结合靶点,多种实验验证结合的真实性和结合模式。
图3 鉴定人蛋白质组微阵列上的 PrA 结合蛋白
4、PrA 抑制 ACSL4 磷酸化和激活
干扰 ACSL4 的 Thr328 磷酸化和蛋白表达,抑制 DOX 诱导的 AA 生成,敲低或过表达 ACSL4 验证其对铁死亡的影响。
图4 PrA 阻断心肌细胞中 DOX 诱导的 ACSL4 激活,并减少 ROS 产生和脂质过氧化
5、PrA 减少 FTH1 的自噬降解
恢复 DOX 降低的 FTH1 蛋白水平,减少细胞内 Fe2 + 释放,干扰 NCOA4-FTH1 相互作用,抑制 FTH1 向溶酶体转运和铁自噬。
图5 PrA 抑制 FTH1 在溶酶体中的自噬降解
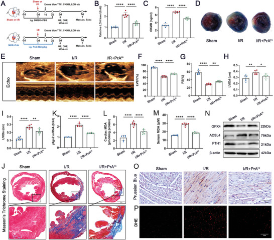
6、PrA 减轻 I/R 诱导的心脏损伤和功能障碍
降低 I/R 小鼠血清心肌损伤标志物活性,减小梗死面积,改善心脏功能,降低心脏和血清 MDA 水平,调节铁死亡相关蛋白、铁和 ROS 含量。
图6 PrA 改善缺血/再灌注 (I/R) 诱导的心脏损伤和铁死亡
研究结论
本文首次揭示 PrA 通过抑制 ACSL4/FTH1 依赖的铁死亡途径减轻 DOX 诱导的心肌损伤,在心肌 I/R 损伤中具有心脏保护和抗铁死亡作用,有望成为治疗 DIC 和其他铁死亡相关疾病的新型双靶点抑制剂。
不得不说铁死亡是近几年科研圈的大热门 ,在国自然项目里那可是一路 “狂飙”,结合临床热门话题,不仅简单,命中率还超高,简直就是科研路上的 “绿色通道” ,还等什么,小伙伴们赶紧冲!
重点来啦!威斯腾生物重磅推出国内首.款高性价比铁死亡热门靶点筛选试剂盒,这可是个 “王炸” 产品!能一次性高效定量 86 个铁死亡基因,直接把科研效率拉满。有科研需求的小伙伴们,别犹豫,赶紧拨打 4006756758 咨询,下一个科研大拿就是你!